Implantes dentales en Antequera
Recupera la función y la estética de tu sonrisa
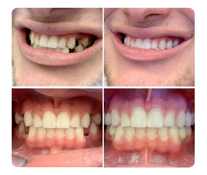
Los implantes dentales en Antequera son una solución fija y duradera para reemplazar piezas perdidas y volver a sonreír, masticar y hablar con normalidad. En nuestra clínica estudiamos cada caso de forma personalizada para planificar un tratamiento seguro, preciso y adaptado a las necesidades de cada paciente.
implantología DENTAL en Antequera
Sustituye dientes perdidos con una solución fija y natural
Los implantes dentales permiten reemplazar la raíz de la pieza ausente para colocar posteriormente una corona que se integra de forma armónica en la sonrisa. Es un tratamiento muy eficaz para recuperar tanto la funcionalidad como la estética dental, evitando además que la ausencia de dientes afecte a la mordida.
Antes de realizar el tratamiento, llevamos a cabo un diagnóstico completo para valorar el estado del hueso y planificar la mejor solución para ti. Nuestro objetivo es ofrecerte un resultado natural, estable y cómodo, ayudándote a recuperar seguridad y calidad de vida en tu día a día.
C. Merecillas, 56, 29200 Antequera, Málaga
C. Peñuelas, 8, 29530 Alameda, Málaga
Preguntas frecuentes
¿Qué es exactamente un implante dental?
¿Cualquier persona puede ponerse implantes?
La gran mayoría de adultos son candidatos. Sí es necesario contar con suficiente hueso en la zona y tener una encía en buen estado. Enfermedades como la diabetes o la hipertensión no son una barrera, siempre que estén controladas. Lo más importante es hacer una valoración personalizada antes de empezar: en Clínica Dental Alameda estudiamos cada caso con detalle para darte la mejor solución posible.
¿Duele ponerse un implante?
La intervención se realiza con anestesia local, por lo que durante el procedimiento no se siente dolor. Después, es normal que haya algo de inflamación o molestia en la zona durante los primeros días, algo muy parecido a lo que ocurre con cualquier pequeña cirugía. Con los analgésicos habituales se lleva con comodidad, y en pocos días ya se nota la mejoría.
¿Cuánto tiempo dura la inflamación tras la colocación?
Lo habitual es que las molestias y la hinchazón remitan en un plazo de 3 a 7 días. El implante necesita entre 3 o 4 meses para integrarse bien con el hueso antes de colocar la corona definitiva, pero durante ese tiempo se puede hacer vida completamente normal.
¿Cuánto reposo necesito después?
Si la cirugía ha sido sencilla, basta con evitar esfuerzos físicos intensos las primeras 24-48 horas. En intervenciones más complejas, el especialista te indicará las pautas concretas. En cualquier caso, la mayoría de los pacientes retoman su rutina al día siguiente.
¿Qué puedo comer después del tratamiento?
Durante los primeros días se recomienda comida blanda que no requiera masticación: cremas, purés, caldos, yogures, batidos de fruta… Poco a poco se va volviendo a la dieta normal. Te damos todas las indicaciones por escrito para que no tengas ninguna duda en casa.
¿Cuánto tiempo duran los implantes?
Con una buena higiene y revisiones periódicas, los implantes están diseñados para durar toda la vida. La tasa de éxito a largo plazo supera el 95%. La clave está en cuidarlos igual que a los dientes naturales: cepillado regular, uso de hilo interdental y visitas anuales a la clínica.
¿Cuál es el precio de un implante dental?
El precio varía según el caso, los materiales y si se necesita algún tratamiento previo. En Clínica Dental Alameda siempre entregamos un presupuesto detallado antes de comenzar, sin sorpresas. Además, ofrecemos facilidades de pago para que el coste no sea un obstáculo para recuperar tu sonrisa.
